21歲,本該是跑著追夢想的年紀,寶雞小伙小倪(化名)卻被一場怪病絆住了腳 ——耳朵突然聽不清,還總頭暈,一查竟發現腦子里、脊髓上長滿了腫瘤。更讓人揪心的是,這種 “多瘤怪病”特別罕見,每2.5萬到4萬人里,可能才會有1個人得,確診后平均只能再活15年。
耳朵聽不清、走路晃悠悠,一查竟是罕見 “多瘤怪病”
2025年6月,小倪發現自己右邊耳朵越來越聽不清,一開始以為是熬夜累著了,沒當回事。可9天過去,聽力沒好轉,還添了新毛病 ——一走路就暈乎乎的,像踩在棉花上。在當地醫院做了檢查后,醫生指著片子說:“你耳朵旁邊的腦子里長了東西,可能是腫瘤,得去大醫院再看看。”
慌了神的家人帶著小倪,輾轉找到專門看腦子和神經疾病的專家團隊。到了西安大興醫院渭水園院區后,接診的神經外科二病區周教授第一時間仔細詢問了他的情況,小倪說,2021年得過一次神經炎,胸口還長了個褐色的小肉疙瘩。結合這些線索,再加上詳細的檢查,結果讓所有人都捏了把汗:小倪的腦內多處有腫瘤,連脊髓里也藏著不少。
周教授跟小倪和家屬解釋:“這是一種特別罕見的病,叫‘2型神經纖維瘤病’,不是只長一個腫瘤,而是全身神經旁邊都可能冒出來。現在你聽力下降、走路晃,就是腫瘤壓到神經了;再拖下去,腫瘤會越長越大,不僅可能聽不見,還會壓得你站不起來?!?span style="display:none">bXv28資訊網——每日最新資訊28at.com

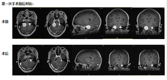
第一次手術:從耳后開口,既要拆瘤又要保聽力
“必須馬上手術!”團隊討論時,周教授分析,“現在腫瘤已經壓到聽力和平衡神經了,再等1個月,負責聽力的神經可能就徹底壞死,到時候再切腫瘤,耳朵也聽不見了?!?span style="display:none">bXv28資訊網——每日最新資訊28at.com
考慮到小倪才21歲,團隊沒選 “一刀切” 的方案,而是決定從耳后開一個約10厘米的小口 ——這個位置能精準摸到耳朵旁邊的腫瘤,還能盡量避開控制聽力、面部活動的神經。
手術當天,醫生在顯微鏡下一點點 “剝” 腫瘤:剝到腫瘤深處時,醫生發現再往里切,必然會傷著聽力神經?!巴?這里留一點點,先保聽力?!眻F隊果斷調整,把能安全切除的腫瘤全清干凈,再仔細止血,避免術后出血。

第二次手術:搶在神經壞死前,拆脊髓旁的 “麻煩瘤”
第一次術后第5天,小倪的頭暈明顯恢復好轉,但團隊沒敢松勁:這種病的腫瘤會 “到處跑”,脊髓上的病灶還沒處理,必須趁小倪恢復好,趕緊查清楚 ——果然,脊髓脖子附近的腫瘤已經讓他右邊胳膊又疼又腫,連拿杯子都費勁。
“必須盡快處理脊髓上的腫瘤,不然神經壓得時間長了,胳膊可能就真的動不了了?!眻F隊馬上制定手術方案。這次手術更精細:脊髓旁邊全是神經,稍微不小心就可能影響走路、抬手,甚至大小便。而且頸椎上的腫瘤兩個,一個在枕骨大孔,一個在第三頸椎平面,要一次手術,把兩個腫瘤都拿下來。
第二次術后第1天,小倪一醒就試著動了動右手:“不腫了,也不那么疼了!” 第二天拍片子,顯示手術部位恢復得很好,沒有出血和水腫。
對罕見病患者而言,小倪的病難在腫瘤多、易復發,還得在“切瘤”和“保功能”間找平衡。周教授團隊兩次手術都踩準關鍵節點:第一次搶在聽力神經壞死前保聽力,第二次趕在脊髓神經受損前解胳膊痛。
如今小倪已順利出院,吃飯、走路、抬胳膊都正常,看著小倪的情況一天天好轉,家屬說:“一開始知道得這么罕見的病,我們都快絕望了,幸好你們一次次搶時間手術,太謝謝了!”
編輯:齊少恒
本文鏈接:http://m.yifxia.cn/showinfo-62-23806-0.html21歲小伙遇 “萬分之一怪病” 醫生兩次手術解多瘤困局
聲明:本網頁內容由互聯網博主自發貢獻,不代表本站觀點,本站不承擔任何法律責任。天上不會到餡餅,請大家謹防詐騙!若有侵權等問題請及時與本網聯系,我們將在第一時間刪除處理。
上一篇: 醫保只能報銷便宜老藥系謠言